Gum Disease Treatment in Plainview, New York
Expert gum disease treatment in Plainview, Long Island. Board-certified dentist treating gingivitis & periodontitis. Advanced laser therapy.



Understanding Gum Disease: What Long Island Residents Need to Know
Gum disease (periodontal disease) is one of the most common chronic conditions affecting adults in New York State. According to recent data, nearly 47% of American adults over 30 have some form of periodontal disease, with that number increasing to 70% for adults over 65. In Long Island, factors like stress, smoking, and inadequate oral hygiene contribute to high rates of gum disease among working professionals and families.
The good news? When caught early, gum disease is treatable and even reversible. At Meadowbrook Dental, we provide evidence-based periodontal care that addresses the root cause of infection while preserving your natural teeth.
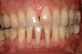
What Is Gum Disease?
Gum disease is a bacterial infection that affects the tissues surrounding and supporting your teeth. It begins when plaque—a sticky film of bacteria—builds up along the gumline and hardens into tartar. If left untreated, this infection progresses through distinct stages, each causing increasingly severe damage to your gums, bone, and teeth.
The Two Main Types of Gum Disease:
Gingivitis (Early Stage)
Inflammation of the gums without bone loss
Reversible with professional treatment
Characterized by red, swollen, bleeding gums
Periodontitis (Advanced Stage)
Infection spreads below the gumline to bone and ligaments
Can cause permanent damage and tooth loss
Requires specialized periodontal treatment
Advanced Gum Disease Treatment in Plainview
At Meadowbrook Dental, we offer a comprehensive range of periodontal treatments tailored to your specific stage of gum disease. Our Plainview office is equipped with state-of-the-art technology to ensure precise, comfortable, and effective care.


Frequently Asked Questions About Gum Disease
General Questions
Q: What is gum disease?
A: Gum disease (periodontal disease) is a bacterial infection that affects the tissues surrounding your teeth. It begins when plaque—a sticky film of bacteria—accumulates along the gumline and hardens into tartar. If left untreated, the infection can destroy the gums, bone, and connective tissues that hold your teeth in place, eventually leading to tooth loss.
Q: How common is gum disease?
A: Gum disease is extremely common. According to the CDC, approximately 47% of American adults aged 30 and older have some form of periodontal disease. That percentage increases to 70% for adults over 65. In Long Island, factors like stress, smoking, and busy lifestyles contribute to high rates of gum disease among working professionals and families.
Q: What's the difference between gingivitis and periodontitis?
A:
Gingivitis is the early stage of gum disease where inflammation affects only the gum tissue. It's characterized by red, swollen gums that bleed easily. Gingivitis is completely reversible with professional treatment and improved oral hygiene.
Periodontitis is advanced gum disease where the infection has spread below the gumline to damage the bone and ligaments supporting your teeth. This stage causes permanent damage and can lead to tooth loss if not treated. While the damage cannot be reversed, periodontitis can be managed to prevent further progression.
Q: Is gum disease contagious?
A: While gum disease itself isn't contagious, the bacteria that cause it can be transmitted through saliva. This means sharing utensils, kissing, or sharing drinks with someone who has gum disease could transfer bacteria. However, developing gum disease also requires other factors like poor oral hygiene, genetics, and lifestyle choices.
Symptoms & Diagnosis
Q: What are the early warning signs of gum disease?
A: Early warning signs include:
Gums that bleed when brushing or flossing
Red, swollen, or tender gums
Persistent bad breath (halitosis)
Receding gums (teeth appear longer)
Sensitive gums or teeth
Pain when chewing
Loose or shifting teeth
Changes in your bite
Important: Many people with early gum disease experience no pain, which is why regular dental checkups are crucial for early detection.
Q: Why do my gums bleed when I brush or floss?
A: Bleeding gums are one of the first signs of gingivitis. Healthy gums should not bleed during normal brushing and flossing. The bleeding occurs because plaque buildup has caused inflammation and weakened the gum tissue. If your gums bleed regularly, schedule an appointment at Meadowbrook Dental in Plainview for an evaluation.
Q: Can I have gum disease without knowing it?
A: Yes, absolutely. Gum disease is often called a "silent disease" because it can progress without causing obvious pain or discomfort, especially in the early stages. Many patients don't realize they have gum disease until it has advanced significantly. This is why regular dental examinations every 6 months are essential—we can detect gum disease before you notice symptoms.
Q: How is gum disease diagnosed?
A: At Meadowbrook Dental in Plainview, we diagnose gum disease through:
Visual Examination: Checking for inflammation, bleeding, and recession
Periodontal Probing: Measuring pocket depths between teeth and gums with a specialized instrument (healthy pockets are 1-3mm; deeper indicates disease)
Digital X-rays: Revealing bone loss below the gumline
Medical History Review: Identifying risk factors like diabetes, smoking, or medications
Bite Analysis: Checking for alignment issues that may contribute to gum problems
Causes & Risk Factors
Q: What causes gum disease?
A: The primary cause of gum disease is plaque—a sticky film of bacteria that constantly forms on teeth. When plaque isn't removed through brushing and flossing, it hardens into tartar (calculus), which can only be removed by professional dental cleaning. The bacteria in plaque and tartar produce toxins that irritate and infect the gums, leading to inflammation and tissue destruction.
Q: Am I at higher risk for gum disease?
A: Yes, if you have any of these risk factors:
Lifestyle Factors:
Smoking or tobacco use (increases risk by 5-7x)
Poor oral hygiene habits
High-stress lifestyle (common among Long Island professionals)
Poor nutrition and vitamin deficiencies
Excessive alcohol consumption
Health Conditions:
Diabetes (especially uncontrolled)
Compromised immune system (HIV/AIDS, cancer treatment)
Hormonal changes (pregnancy, menopause, puberty)
Chronic diseases (cardiovascular disease, rheumatoid arthritis)
Osteoporosis
Other Factors:
Genetics (30% genetic predisposition)
Age (risk increases after 30)
Certain medications that reduce saliva flow
Teeth grinding (bruxism)
Crooked teeth or dental work that's difficult to clean
Q: Does smoking really increase my risk of gum disease?
A: Yes, dramatically. Smoking is one of the most significant risk factors for developing gum disease. Smokers are:
2-7 times more likely to develop periodontal disease
More likely to have severe gum disease
Less responsive to treatment
More likely to experience treatment failure
At higher risk for tooth loss
Smoking weakens your immune system, reduces blood flow to gums, and impairs healing. If you smoke, quitting is one of the best things you can do for your periodontal health.
Q: Can stress cause gum disease?
A: Yes, chronic stress can contribute to gum disease in several ways:
Weakens your immune system's ability to fight infection
May lead to teeth grinding (bruxism), which damages gums
Often correlates with neglecting oral hygiene
Can trigger inflammatory responses throughout the body
Many Long Island residents experience high stress due to demanding careers and busy lifestyles, making stress management an important part of periodontal health.
Q: Is gum disease hereditary?
A: Genetics play a significant role. Research shows that approximately 30% of the population may be genetically predisposed to gum disease, regardless of how well they care for their teeth. If your parents had gum disease or lost teeth, you're at higher risk and should be especially vigilant about prevention and professional care.
Treatment Questions
Q: Is gum disease reversible?
A: It depends on the stage:
Gingivitis (Early Stage): Completely reversible with professional cleaning, improved oral hygiene, and lifestyle modifications
Periodontitis (Advanced Stage): The damage to bone and connective tissue is permanent and cannot be reversed. However, treatment can stop disease progression, manage the condition, and prevent further damage
The key is catching gum disease early through regular dental visits at our Plainview office.
Q: What is scaling and root planing?
A: Scaling and root planing, also called "deep cleaning," is a non-surgical treatment for gum disease. It involves:
Scaling: Removing plaque and tartar (calculus) from above and below the gumline
Root Planing: Smoothing the tooth root surfaces to remove bacterial toxins and help gums reattach to teeth
The procedure is typically performed under local anesthesia over 2-4 appointments, treating one section of your mouth at a time. It's highly effective for early to moderate periodontitis.
Q: Does gum disease treatment hurt?
A: Modern gum disease treatment is much more comfortable than you might expect. Here's what to know:
During Treatment: We use local anesthesia to numb the treatment area, so you won't feel pain during the procedure
After Treatment: You may experience mild tenderness, sensitivity, or swelling for a few days, which is easily managed with over-the-counter pain relievers
Advanced Options: Laser therapy (LANAP) causes even less discomfort and faster healing compared to traditional methods
Most patients report that treatment is far less uncomfortable than they anticipated.
Q: How long does gum disease treatment take?
A: Treatment timelines vary by disease severity:
Gingivitis: 1-2 appointments for professional cleaning and oral hygiene instruction
Early Periodontitis: 2-4 appointments over 2-4 weeks for scaling and root planing
Moderate Periodontitis: Several appointments over 1-3 months, possibly including surgical procedures
Advanced Periodontitis: Multiple appointments over 3-6 months for comprehensive treatment and restoration
After initial treatment, maintenance cleanings every 3-4 months help keep gum disease under control.
Q: What is laser gum disease treatment (LANAP)?
A: LANAP (Laser Assisted New Attachment Procedure) is an FDA-cleared, minimally invasive treatment for gum disease. Benefits include:
Less invasive: No cutting or stitching
Minimal discomfort: Less pain during and after treatment
Faster healing: Typically 24 hours vs. 2-4 weeks with traditional surgery
Better outcomes: Promotes regeneration of gum tissue and bone
Precision: Targets diseased tissue while preserving healthy tissue
Less bleeding and swelling: Laser cauterizes as it treats
Meadowbrook Dental offers advanced laser therapy at our Plainview location for patients seeking the most comfortable treatment options.



Why Choose Meadowbrook Dental for Gum Disease Treatment in Plainview?

When it comes to treating gum disease, experience and technology make all the difference. Here's why Long Island families trust Meadowbrook Dental:
Board-Certified Specialists Dr. Casañas and Dr. Tamburro combine decades of periodontal experience, staying current with the latest evidence-based treatment protocols.
Advanced Technology Our Plainview office features:
3D digital imaging for precise diagnosis
Laser periodontal therapy (LANAP)
Minimally invasive surgical techniques
Computer-guided treatment planning
Comprehensive Care Under One Roof From prevention to complex periodontal surgery and dental implants, we provide complete care without referrals to multiple specialists.
Personalized Treatment Plans We understand that every patient's situation is unique. Your treatment plan is customized based on your stage of gum disease, overall health, and personal goals.
Comfortable, Modern Environment Our Plainview office on Manetto Hill Road is designed for your comfort, with amenities that reduce dental anxiety and make treatment more pleasant.
Convenient Location Easily accessible from throughout Nassau County, including Plainview, Bethpage, Old Bethpage, Hicksville, Woodbury, and surrounding Long Island communities.
Flexible Scheduling We offer early morning, evening, and weekend appointments to accommodate busy Long Island schedules.
Insurance & Financing Options We work with most major dental insurance plans and offer flexible financing to make periodontal treatment affordable.
Start Your Dental Journey with us
Seamless Appointments
Expert Dentist
Call Today


