Dec 5, 2025
Read Time
5 min read
What Happens If You Don't Treat a Cavity? Stages of Tooth Decay
What Happens If You Don't Treat a Cavity? Stages of Tooth Decay
Ignoring a cavity? Learn the progressive stages of untreated tooth decay, from enamel damage to tooth loss, and why early treatment saves money and pain.


The Problem That Never Fixes Itself
We have all been there. You feel a slight twinge in a tooth when you drink cold water, or maybe your tongue finds a rough spot on a molar. The temptation to "wait and see" is strong. Maybe it will go away? Maybe it’s just sensitive?
Here is the hard truth about tooth decay: Unlike a cut on your skin or a common cold, a cavity cannot heal itself.
Tooth decay is a progressive disease. Once the bacteria break through your enamel, the clock starts ticking. What begins as a microscopic hole will inevitably grow larger, deeper, and more painful if left untreated. The difference between treating a cavity now versus later isn't just about time; it’s about cost, pain, and potentially losing the tooth entirely.
In this guide, we will walk you through the 5 stages of untreated tooth decay, showing you exactly what happens behind the scenes when a cavity is ignored.



Stages 1 & 2: The "Silent" Stages (Enamel Decay)
In the beginning, you likely won't feel a thing. This is why regular check-ups are so critical; we can catch the problem before you even know it's there.
Stage 1: Demineralization (The Warning Shot): Before a hole forms, the enamel weakens. You might see a chalky white spot on the tooth. At this specific stage, decay is actually reversible with improved hygiene and professional fluoride treatments to re-harden the enamel.
Stage 2: Enamel Decay (The Cavity Forms): If demineralization continues, the structure breaks, and a physical cavity forms in the hard outer layer (enamel). You still might not feel pain, but the damage is done.
The Fix: A small, simple, and inexpensive dental filling.
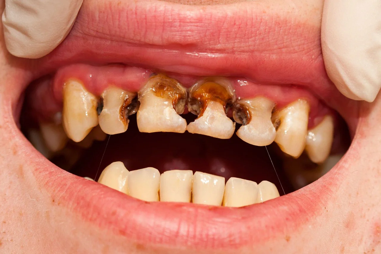
Stage 3: The "Ouch" Stage (Dentin Decay)
Once the bacteria eat through the hard enamel, they reach the dentin. This is the softer, sensitive layer underneath that contains microscopic tubes leading directly to the nerve.
The Symptoms: This is usually when you first notice the problem. You will likely feel sensitivity to sugar, hot coffee, or ice water. You might also feel a sharp pain when biting down.
The Reality: The decay moves much faster through the soft dentin than it did through the hard enamel. The cavity is growing rapidly now.
The Fix: A larger filling or potentially a dental inlay/onlay. If you wait too long here, the tooth structure becomes weak and may crack.


Stages 4 & 5: The Infection and Abscess (The Danger Zone)
If you continue to ignore the pain of Stage 3, the bacteria inevitably breach the inner sanctum of the tooth: the pulp, which houses the nerves and blood vessels.
Stage 4: Pulpitis (Infection): The pulp becomes infected and inflamed. Because the swelling has nowhere to go inside the hard tooth, the pressure causes severe, throbbing, constant pain. You may not be able to sleep. At this point, a filling is no longer an option.
The Fix: Root Canal Therapy is the only way to remove the infection and save the tooth.
Stage 5: Abscess Formation: If the root canal isn't performed, the infection kills the nerve and spreads out of the root tip into the jawbone. A pocket of pus (abscess) forms. This can cause severe facial swelling, fever, and can even spread infection to your neck or brain, becoming a life-threatening medical emergency.
The Fix: Urgent root canal therapy or, more likely, extraction (pulling the tooth).






Save Your Tooth (and Your Wallet) Today
The progression of tooth decay is a slippery slope.
Treating it at Stage 2 costs a few hundred dollars and takes 30 minutes.
Treating it at Stage 4 (Root Canal + Crown) can cost several thousand dollars and requires multiple visits.
Treating it at Stage 5 (Extraction + Implant) is the most expensive and invasive outcome of all.
Procrastination is the most expensive part of dentistry.
If you suspect you have a cavity, or if it has been more than six months since your last check-up, do not wait for the pain to tell you something is wrong. Catching it early is easy, painless, and affordable.
Contact Meadowbrook Dental Care today. Whether you need a simple filling or urgent care for a toothache, our teams in Mineola and Plainview are here to help you stop the decay in its tracks.
Recent Blog Posts
Recent Blog Posts
Start Your Dental Journey with us
Seamless Appointments
Expert Dentist
Call Today







