
Understanding Dental X-Rays - Safety and Necessity
Seeing Beneath the Surface: The Importance and Safety of Dental X-Rays
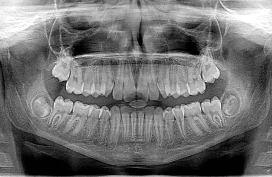
A visual dental exam only shows part of the picture. Many of the most significant dental problems, such as decay between teeth, bone loss from gum disease, or an infection at the root of a tooth, begin completely hidden from view. Dental X-rays (also called radiographs) are an essential diagnostic tool that allows us to see beneath the surface of your gums and enamel. They are, without a doubt, one of the most important components of a thorough and comprehensive dental examination, enabling us to catch problems early when they are easier and less expensive to treat.

Why X-Rays Are Necessary and How We Keep Them Safe
We understand that patients often have questions about the necessity and safety of dental X-rays. Our commitment is to provide a clear understanding of why this technology is so vital and how we ensure the process is exceptionally safe.
The Necessity: What Can Dental X-Rays Detect?
Without the detailed view provided by an X-ray, a significant amount of your oral health would be left to guesswork. X-rays are a non-invasive way for us to accurately diagnose conditions that would otherwise go unnoticed until they become severe and painful.
Specifically, dental X-rays allow us to detect:
Cavities between teeth and underneath existing fillings.
Bone loss is associated with advanced gum disease (periodontitis).
Infections or abscesses at the tip of a tooth's root.
Impacted teeth, such as wisdom teeth, that are trapped in the jaw.
Cysts, tumors, and other types of abnormalities.
Developmental issues with the teeth and jaw in children.
We use different types of X-rays for different purposes, including bitewings during your check-up to look for cavities, and panoramic X-rays to see a broad overview of your entire jaw.
The Safety: Addressing Concerns About Radiation
Patient safety is our absolute priority. We exclusively use state-of-the-art digital X-rays, which offer two major safety advantages over old-fashioned film X-rays:
Drastically Reduced Radiation: Digital sensors are far more sensitive than film, reducing your radiation exposure by up to 90%.
Putting Radiation in Perspective: The amount of radiation from a routine set of four bitewing X-rays is extremely small, often less than the amount of natural background radiation you receive from the environment during a normal day, or comparable to the dose received on a short airplane flight.
Furthermore, we strictly adhere to the ALARA Principle (As Low As Reasonably Achievable), meaning we only take X-rays when they are diagnostically necessary. As an added precaution, we always provide a lead apron with a thyroid collar for you to wear during the imaging process.

A Clearer Path to Your Best Oral Health
By allowing us to diagnose problems long before they cause you pain, dental X-rays are one of the most important tools we have for providing less invasive, more effective, and more affordable long-term care. They are a cornerstone of modern, preventive dentistry. We are always happy to answer any questions you may have about our state-of-the-art digital imaging technology.
Contact Meadowbrook Dental today to schedule your comprehensive exam at our Plainview, Long Island office and experience the confidence that comes with a truly thorough diagnosis.
Start Your Dental Journey with us
Seamless Appointments
Expert Dentist
Call Today


